
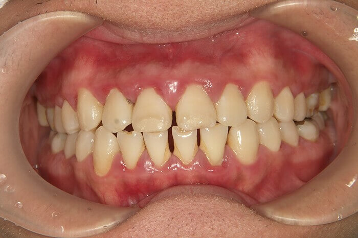
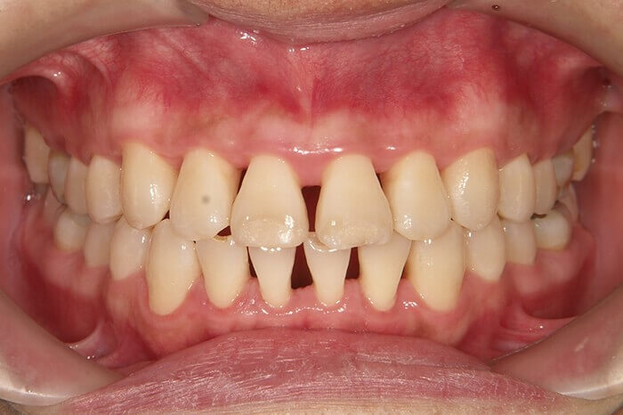
歯周病は、歯垢(プラーク)がきっかけでおこる歯周組織の病気です。歯垢とは、食べかすや歯の垢ではなく、細菌の塊です。1mg中に数億もの細菌が棲みついていると言われており、その中の歯周病原菌が出す毒素で歯肉に炎症をもたらします。
歯垢は唾液中のミネラルと結合して石のように硬くなり歯石となります。歯石は歯と歯肉の間の歯周ポケットに溜まり、歯肉を刺激し続け、やがて歯を支えている骨(歯槽骨)を溶かしはじめます。 歯周病がひどくなってくると、歯がグラグラするのはこのためで、歯を失う原因は虫歯より多いと言われています。
痛みの症状がないまま進行していくのが特徴 です。そのため、歯周病の予防・早期発見・早期治療が重要です。
治療後は、病状が安定し良好になった歯周組織を維持するために、患者様のリスクに応じて1〜3ヶ月に1回のSPT(歯周病安定期)治療、予防プログラムを行います。歯周病で歯を失ってしまう前に、早めに予防に取り組むようにしましょう。

当院では、日本歯周病学会認定医による歯周病の治療を行っています。全国に歯科医師はおよそ7万人いますが、その中でも日本歯周病学会の専門医・認定医を取得している数は、沖縄県内では8名です。また、院長は以前、歯周病治療を専門的に行う歯科医院で勤務をしていたため、多くの歯周病患者様を治療してきた実績があります。
専門的な知識や豊富な経験に基づいた歯周病治療を行います。
ただし、 歯周病は歯科医師・衛生士の力だけで改善する病気ではありません。原因は患者様の歯磨きや生活習慣にあります。そのため、歯磨きや生活習慣を改善していかなければ、時間をかけ通院し治療させていただいても完全に治すことは難しいです。
このことをご理解いただいた上で「歯周病を悪化させないために自分ができることは頑張る」
というお気持ちで、一緒に頑張りましょう。

八木歯科では、日本歯周病学会認定医による歯周病の治療を行っています。
院長は以前、歯周病治療を専門的に行う歯科医院で勤務をしていたため、多くの歯周病患者様を治療してきた実績があります。
上記のような方は当院へご相談ください。専門的な知識や豊富な経験に基づいた歯周病治療をご提供いたします。

歯周治療は「口の中の歯周病菌をできるだけ減らす」「効率の良い歯磨きの方法」が重要です。
歯周病菌のかたまりである歯石やプラーク(歯垢)を除去するために、歯に合わせた専門の器具を選択し除去していきます。
また、歯周病菌は食事をするたびに増殖していくのでゼロにすることはできず、口の中に少し残っています。そのため患者様が毎日の歯磨きで、歯周病菌の増殖を抑えないといけません。歯周病菌を効率よく取り除く、歯磨きの方法を衛生士と一緒に実践していきます。
当院の衛生士は歯周病認定衛生士の指導のもと歯周管理を学び、患者様の症状を総合的に分析し重症度に合わせた治療計画性を立てていますので、安心してお任せください。
1 歯にこびりついた歯石を取り除きます
歯と歯茎の境目にこびりついた歯石は、ブラッシングでは取り除くことができません。専用の器具を使って歯の表面を傷つけないよう丁寧に取り除きます。
(歯茎の状態を確認しながら行いますので、基本的に2回、症状によって回数が増える場合があります)
炎症のある歯肉は歯石を取ることによって引き締まるため歯肉が退縮するように見えますが、これは本来の健康な状態に戻っていることを表しています。また、除石後しみるようになる事もあります。
ご家庭でのブラッシング状況をチェックし、正しいブラッシングのアドバイスも行います。
2 再検査・歯茎の奥深くまでお掃除します
専用の器具を使って歯茎の溝(ポケット)の深さを測ります。
歯茎の奥にある、目に見えない部分の歯石やプラーク(細菌)を取り除きます。特に深い部分に歯石がある場合には、麻酔を使用することがあります。
歯石を除去する際、出血をすることがありますが、歯茎の腫れによるものです。
3 定期管理へ
歯周病は自覚症状がないまま進行するのが特徴です。
再度進行しないようにコントロールしていく必要があります。
歯科医院で定期検診(1〜3ヶ月ごと)に歯石を取り、ポケット内のクリーニングと毎日のホームケア(歯磨き)を丁寧に行うことが、生涯自分の歯で噛むことにつながります。
①歯周ポケット
②動揺度
③プラーク
歯周病は、まずスケーリングで歯石を除去してお口の中をきれいな状態にし、治療内容により飲み薬で殺菌して歯茎を引き締めます(歯周内科治療)。当院では、重度の歯周病患者様に対しては、歯茎を開けて中の汚れを取り除く歯周外科治療も行っています。
歯周病により失われた歯周組織(歯肉・セメント質・歯根膜・歯槽骨)を再生させる目的で行われます。歯周病が進行し、歯を支える骨が失われてしまったが、何とかして骨を再生させて歯を残したいという患者様に行います。
当院では、再生をするために必要な細胞を歯の根の表面にくっつけるタンパク質 、エムドゲインやリグロスといった誘導薬剤を用います。
糖尿病
歯周病と糖尿病の病態は深く関連しており、例えば歯周病が改善すると糖尿病の状態も良くなると言われています。逆に、重度の歯周病になっていると軽度の人に比べ、2年後に糖尿病が悪化している率が5倍高くなります。
動脈硬化
血管に歯周病菌が入り込むことで、動脈が詰まる原因になるのではないかと考えられており、脳梗塞、心筋梗塞や狭心症を引き起こす原因となります。健康な人に比べ、2.8倍の危険率があります。
※歯周病が重度であるほど、リスクが高くなります。
肺炎
口の中の細菌が繁殖すると、誤嚥(飲み込んだものが気管に入ってしまうこと)によって肺炎になるリスクが高まります。お年寄りは誤嚥が多いため、特に注意が必要です。
アルツハイマー型認知症
脳内に蓄積した異常なタンパク質により脳細胞が壊されて脳の萎縮が起きます。また、歯周病は歯を失う原因の第一位です。歯が20本以上残っている人に比べて、歯が数本で入れ歯を使用しない人の認知症のリスクは1.4倍です。歯を1本でも残す努力が認知症を予防します。
1
歯肉の深いところに歯石が付いている部分があります。
2
麻酔をします。
手術は約1時間かかります。
3
治療する部分の歯肉を切開します。
4
歯肉を開き、歯根を露出させます。
5
歯石を徹底的に取り除き、歯根の表面をきれいに清掃します。
6
歯肉を戻し、傷口を縫います。
処方された痛み止めや化膿止めを飲み、抜糸までの期間は安静にしてください。
7
7〜10日後に抜糸します。
傷口が治りました。
8
抜糸後、1〜3ヶ月後に歯周検査をします。
健康に回復していれば歯周治療は終了です。


歯周病は、歯を失う原因となるだけでなく、全身疾患のリスクを高めることもわかっています。
糖尿病
歯周病と糖尿病の病態は深く関連しており、例えば歯周病が改善すると糖尿病の状態も良くなると言われています。逆に、重度の歯周病になっていると糖尿病が悪化する可能性は5倍も高くなります。
動脈硬化
血管に歯周病菌が入り込むことで、動脈が詰まる原因になるのではないかと考えられており、脳梗塞、心筋梗塞や狭心症を引き起こす原因となります。健康な人に比べ2.8倍の危険率があります。※歯周病が重度であるほど、リスクが高くなります。
肺炎
口の中の細菌が繁殖すると、誤嚥(飲み込んだものが気管に入ってしまうこと)によって肺炎になるリスクが高まります。お年寄りは誤嚥が多いため、特に注意が必要です。
アルツハイマー型認知症
歯周病菌がアミロイドβの蓄積を促進させ、脳細胞が壊されて脳の機能が低下します。また、歯周病は歯を失う原因の第一位です。歯が20本以上残っている人に比べて、歯が数本で入れ歯を使用しない人の認知症のリスクは1.4倍です。歯を1本でも残す努力が認知症を予防します。
お問い合わせ
お問い合わせ
